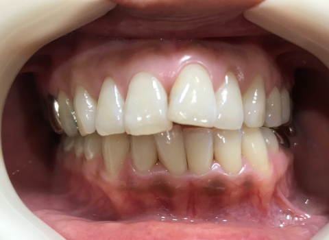
前歯の一本が出っ歯になっている点と、右上奥の銀歯が笑った時に見えてしまう点、を改善したいと来院されました。
前歯の出っ歯1本と、奥歯の銀歯にセラミッククラウン治療を行いました。


またセラミッククラウンの色をすこし白くされたいとのことで、事前に1dayホワイトニングも行った上で、白くなった歯の色に合わせてセラミッククラウンの色も選びました。
- 治療費用(税込)
- ¥330,000※
- 治療時間
- 1回1時間※
- 通院回数
- 8回
※費用内訳(税込):セラミッククラウン2本 ¥253,000、仮歯2本 ¥22,000、1dayホワイトニング ¥55,000(この施術の治療日のみ約1時間半〜2時間)








