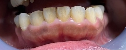
上と下の前歯4本ずつのホワイトニング治療を、初回のみ「お試しホワイトニング」として実施しております。
この患者様の場合は、上の歯のセラミック治療をする前でしたので、下の歯8本でお試しホワイトイニングを行いました。


歯が自然な白さになることにより、口元の清潔感が出るだけでなく、上の歯のセラミックの色を選択する幅も広くなりました。
- 治療費用(税込)
- ¥11,000
- 治療時間
- 1回1時間
- 通院回数
- 1回

当院では同じ時間帯に一人の患者様のみの予約で、診療室では患者様はお一人の状態で治療します。待合では、他の患者様と同席することなくお帰り頂けますので、ウィルス感染リスクの軽減にもなります。
専用の薬剤を塗り、光線を当てることによって、歯を白くする方法です。
オフィスホワイトニングの研究を重ね、従来のホワイトニングよりも白く、歯に優しく、透明感を維持しながら満足な結果を得ることが出来る治療になりました。
知覚過敏も抑えられていますので、快適に治療を受けられます。患者さんが治療中に寝てしまうことも多く、うとうとしている間に、痛みを感じずホワイトニング効果が期待できます。
1回の治療でも効果を得ることが可能ですが、1回より2回と回数を重ねるごとにより効果を実感できる治療です。
さらにホームホワイトニングを自宅でされることによりホワイトニング効果のスピード性、持続効果も実感できますが、ご自宅でマウスピースをはめるのが煩わしい、通院でホワイトニングしたい、などの場合はオフィスホワイトニングで白い歯になる治療をお選びください。
歯の性質には個人差があり、白くなりにくい方もみえますが、回数を重ねることにより、ほとんどの方に効果を実感してもらえるようになりました。

まずカウンセリングで方針を決めます。お口の状態を診察して、希望を伺いながら、その方にあった治療を提案していきます。例えば神経をとった場合などはホワイトニングの効力が現れないので、ホワイトニング後の白さにあわせてセラミック治療を提案するなど、ひとりひとりにあった計画を立てていきます。
また、白くしたい歯の色の目標を決めておきます。
当院ではホワイトニング前後に専用の機械で歯の色の測定評価をしていきますので、ご自分の感覚と同時に的確な評価も可能です。
オフィスホワイトニングをする部位の歯の表面の汚れを専用の機械で除去していきます。術後に知覚過敏の症状がでないように丁寧に処置を行いますのでご安心ください。

まず開口ガードを装着します。次にホワイトニング剤から歯茎をガードするため、歯と歯茎の境にジェルを塗っていきます。
歯にホワイトニングペーストを塗ります。
ホワイトニングペーストを塗った歯にLED光線を照射していきます。
照射後は、再びホワイトニングペーストを塗り、また照射をし、この過程を繰り返して治療を進めます。

ホワイトニングの施術が終わると、歯の組織を強くするためのフッ素を塗り、これで治療は終了です。
治療後は、お化粧直しをして頂けるパウダールームにご案内します。白くなった歯に似合うリップグロスを、パウダールームや待合室にご用意しております。
ホワイトニングの効果を試して頂くための施術内容になります(1回に限らせていただきます)。上下4本ずつの計8本をレーザーを使ったホワイトニングで白くしていきます。施術時間は約1時間になります。
オフィスホワイトニングに興味をもった方は、是非一度お試しください。
上と下の前歯4本ずつのホワイトニング治療を、初回のみ「お試しホワイトニング」として実施しております。
この患者様の場合は、上の歯のセラミック治療をする前でしたので、下の歯8本でお試しホワイトイニングを行いました。


歯が自然な白さになることにより、口元の清潔感が出るだけでなく、上の歯のセラミックの色を選択する幅も広くなりました。
忙しくて時間がとれず、治療回数を重ねられない方のために、1日で歯の色を白くきれいにする「1Day(ワンデイ)ホワイトニング」プランを用意しております。
笑った時に見える範囲の歯を治療します。個人差がありますが12本〜20本ぐらいになります。
施術時間は1時間半〜2時間程度になりますので、時間に余裕をもってご来院頂くようお願い致します。
50代男性の患者様の症例をご紹介します。
非常にお忙しい日々を過ごされている患者様が、
「できるだけ通院回数を少なくして口元をきれいにしたい」というご希望で来院されました。
Nセントラルクリニック歯科では、お一人おひとりの患者様に十分な時間を確保し、できるだけ通院回数を少なくできる治療を心がけています。
今回は、歯周病予防のための歯石・歯垢除去を行う歯のクリーニング(スーパークリーニング)と、口元の清潔感を整えるためのホワイトニング(1DAYホワイトニング)を行いました。


治療時間は約2時間以上かかりますが、1回の来院でクリーニングとホワイトニングを完了することができました。
一般的な保険診療で行う歯石除去のクリーニングは、複数回の通院が必要になる場合も多く、またタバコのヤニや着色汚れまで十分に除去できないことがあります。
そのため「クリーニングをしても思ったほどきれいにならない」と感じる方も少なくありません。
当院の歯のクリーニング(スーパークリーニング)では、
まで丁寧に行うことで、歯本来の自然な白さを取り戻し、口元が清潔で明るい印象に改善します。
お仕事などで忙しく、何度も歯科医院に通うことが難しい方にもおすすめの治療です。
※費用内訳(税込):1Dayホワイトニング ¥55,000、歯のスーパークリーニング ¥16,500
ご相談・ご予約はLINE、メールまたはお電話から承っております。
| オフィスホワイトニング | 1本¥3,300 |
|---|---|
| お試しホワイトニング 上下4本ずつ(8本)1回限り |
¥11,000 |
| 1Dayホワイトニング | ¥55,000 |
保険診療外(自由診療)になります。
| 治療期間 (回数) |
オフィスホワイトニング:約1時間 お試しホワイトニング:約1時間 1Dayホワイトニング:約1時間半〜2時間 |
|---|---|
| 治療の長所 | 歯を削らずに薬剤と光の反応で歯を白くすることができます。 回数を重ねることで白さは増していきます。 |
| 治療の短所 | ホワイトニングの治療時間は1時間前後はかかります。 歯に歯石や汚れがある場合はプロフェッショナルクリーニングも同時に受けていただく必要があります。 個人差によりますが知覚過敏になる場合もあるとの文献がありますが、 歯の状況、症状に応じて対応いたしますので、ご心配の方はお気軽に先生にお話しください。 |