入れ歯をずっと使用していたそうで、入れ歯の違和感でお見えになられました。
この症例は入れ歯、インプラント、ブリッジの治療が選択肢になりますが、ご本人の希望によりブリッジ治療で通院されることになりました。
5本のセラミッククラウンで治療しました。




- 治療費用(税込)
- ¥687,500※
- 治療時間
- 1回1時間
- 通院回数
- 4回
※費用内訳(税込):セラミッククラウン5本 ¥632,500、仮歯5本 ¥55,000
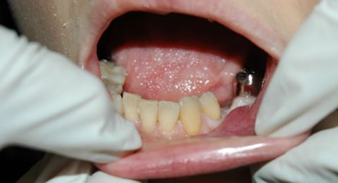
入れ歯をずっと使用していたそうで、入れ歯の違和感でお見えになられました。
この症例は入れ歯、インプラント、ブリッジの治療が選択肢になりますが、ご本人の希望によりブリッジ治療で通院されることになりました。
5本のセラミッククラウンで治療しました。




※費用内訳(税込):セラミッククラウン5本 ¥632,500、仮歯5本 ¥55,000