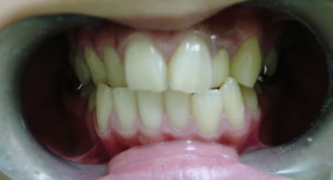
一部の歯が中に入り、横から見ると受け口のような歯並びの患者様。
不揃いな歯並びが気になって思いきり笑えない、と来院されました。
歯の色も白くして「きれいな歯だね」と言われたたい、との希望もありました。


治療費に関しては一度に支払うことが難しかったので医療ローンを組み、ご本人のライフスタイルに合わせた形をとりました。
7本のセラミッククラウン治療で、思いきり笑えるよう歯並びを改善しました。
- 治療費用(税込)
- ¥962,500※
- 治療時間
- 1回1時間
- 通院回数
- 6回
※費用内訳(税込):セラミッククラウン7本 ¥885,500、仮歯7本 ¥77,000






