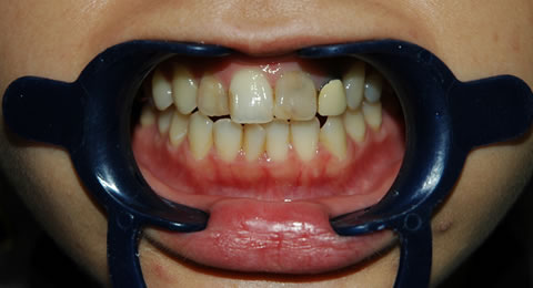
歯の変色と虫歯で来院されました。
歯を全体的に白くしたいとのご希望もありました。




虫歯がひどい歯、神経の治療をした歯、差し歯などはホワイトニング治療は不向きです。
この方の前歯4本は、ホワイトニング治療では改善できないので、セラミッククラウンでの治療となりました。
治療中は写真のように仮の歯を作り、ご本人と色や形を相談しながら完成形を作っていきます。
前歯4本は、セラミッククラウンで治療により、ご希望通りのナチュラルで形も揃った白い歯になりました。
周囲の歯8本はオフィスホワイトニングを行い、色の改善を行いました。
- 治療費用(税込)
- ¥576,400※
- 治療時間
- 1回1時間
- 通院回数
- 7回
※費用内訳(税込):セラミッククラウン4本 ¥506,000、仮歯4本 ¥44,000、オフィスホワイトニング8本 ¥26,400







