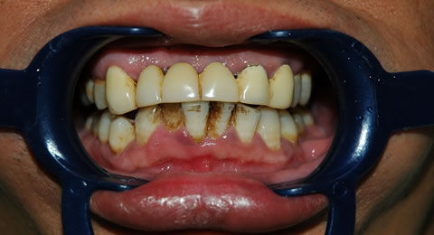
海外から日本にきて働いている20代の男性です。
約10年前に母国で前歯6本の治療をしたが、出っ歯に見えることがどうしても気になっていたとのこと。
歯の色も黄色く、もう少し白い感じにしたいとの希望です。




前の歯6本をセラミッククラウンで治療しました。
同時に、たくさん歯に付着していたヤニや歯石をプロフェッショナルクリーニングでキレイにしました。
- 治療費用(税込)
- ¥841,500※
- 治療時間
- 1回1時間
- 通院回数
- 7回
※費用内訳(税込):セラミッククラウン6本 ¥759,000、仮歯6本 ¥66,000、プロフェッショナルクリーニング ¥16,500






