前歯の並びが大きく前後していたり、角度がついて生えていたりと、歯並びがかなり乱れた状態の患者様です。


他の歯科医院で治療を開始し、上の前歯2本は5年以上前に仮歯にしたようですが、カビが繁殖していました。
以前の歯科医院での治療が上手く行かなかったため、ずっと中断されていたようですが、体調が悪くなったことと、当院への「うまく治療してもらえるのでは」との期待から、相談にいらしてくださいました。


カウンセリングにて良くお話を聞いて、治療をスタートしました。
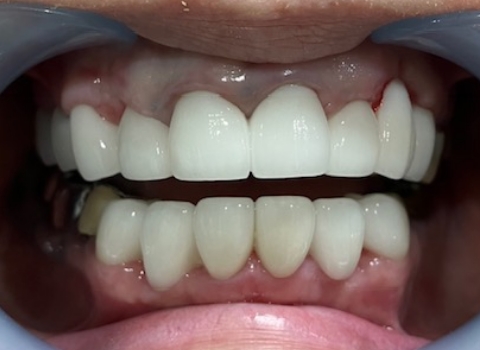
歯石もありましたのでスーパークリーニングを行い、上の歯と下の歯を3本抜歯して、合計15本のセラミッククラウン治療を行うことにしました。
約半年の長い治療になりましたが、希望の状態になられたことで気持ちも落ち着かれ、無事に治療が終了しました。
- 治療費用(税込)
- ¥2,090,000※
- 治療時間
- 1回1時間
- 通院回数
- 20回
※費用内訳(税込):セラミッククラウン15本 ¥1,897,500、仮歯15本 ¥165,000、歯のスーパークリーニング ¥27,500








