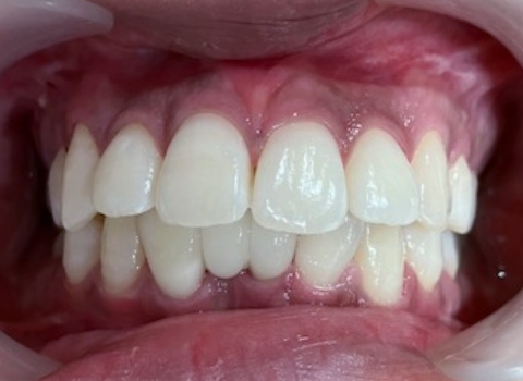
3本セラミッククラウンで下の歯並びを治療された後、歯のホワイトニングを希望されました。
セラミックの色を自分の歯より少し白めに選びましたので、治療歯でない自分の歯を白くする目的です。
クリニックで一回の施術で完了する「1Dayホワイトニング」を選択されました。




多くはホワイトニングを行なってからセラミッククラウンの色を選びますが、治療後でもセラミッククラウンの色に近づけるようホワイトニングをすることができます。
- 治療費用(税込)
- ¥55,000
- 治療時間
- 約1時間半〜2時間
- 通院回数
- 1回
3本セラミッククラウンで下の歯並びを治療された後、歯のホワイトニングを希望されました。
セラミックの色を自分の歯より少し白めに選びましたので、治療歯でない自分の歯を白くする目的です。
クリニックで一回の施術で完了する「1Dayホワイトニング」を選択されました。




多くはホワイトニングを行なってからセラミッククラウンの色を選びますが、治療後でもセラミッククラウンの色に近づけるようホワイトニングをすることができます。